生长育肥猪的腹泻问题在商品猪场很常见,对全球养猪业影响很大。一些感染源会引起4周龄以上猪的肠道紊乱,像轮状病毒、圆环病毒、大肠杆菌、短螺旋体、沙门氏菌、耶尔森氏菌、胞内劳森氏菌、有齿管口线虫、鞭虫等等。实际上,受病原、饲料、水和环境因素影响,大多数猪都会在断奶后出现腹泻和结肠炎。
PCV2是引发PCV2系统病(PCV2-SD)和PCV2亚临床感染(PCV2-SI)的基本病原,也被认为是系统病原。目前,PCV2被认为是引发猪腹泻的病原,有人提出:PCV2肠道疾病(PCV2-ED)是PCV里独立的一部分。它的诊断标准包括:a)猪腹泻;b)肉芽肿性肠炎,显微镜下可见小肠淋巴组织(不包括其它淋巴组织)中淋巴细胞损伤;c)肠粘膜或小肠淋巴结检测的PCV2含量从中到高,未检测其它淋巴结。
为了阐明PCV2肠道疾病的实际发生率,本文研究了西班牙生长育肥猪感染PCV2的患病率,评估PCV2肠道疾病和 PCV2系统病之间的重叠性。本研究选取96头腹泻猪,尸检后样品送到西班牙巴塞罗那自治大学兽医学院诊断实验室检测。本研究(表1)实验期为1998-2011年,仅涉及未接种PCV2疫苗的猪。最常见的肠道病变是粘膜炎(77.1%),纤维素性(11.5%)和肉芽肿性(4.2%)肠炎/结肠炎;除此之外,还有肠道出血或溃疡(4.2%)。原位杂交(ISH)检测发现72头猪(75%)为PCV2阳性。在PCV2阳性猪中,确诊39头猪被PCV2-SD感染,33头猪无明显的淋巴样病变但在一些淋巴组织的核酸病毒含量很低。结果,33头猪是PCV2系统病,但不符合PCV2肠道疾病。实际上,一些淋巴结PCV2含量低的病理学解释有3种可能: a)PCV2-SI,b)PCV2系统病初始阶段,c)PCV2系统病恢复阶段。
下表描绘了感染PCV2猪的筛选和诊断标准。
总之,本研究的结果表明,可以忽略PCV2肠道疾病,PCV2主要对与PCV2系统病相关的肠道紊乱起作用。
需要强调的是:在被PCV2系统病感染的猪场,肠道问题频繁发生。然而,猪被感染并出现腹泻的确切机制尚不清楚。一方面,与PCV2系统病相关的系统免疫抑制是主要因素,它会引发猪场已存在的肠道病原体,但除非危及免疫系统,否则它不会表达。此外,PCV2系统病病理结果涉及不同程度的肉芽肿性肠炎(图1和2),它可以通过改变肠壁渗透性,引起腹泻。在本实验中,PCV2疫苗引起猪死亡,猪场只表现出PCV2系统病的临床症状,因此,与病毒感染相伴发生的其他肠道病原也显著下降。
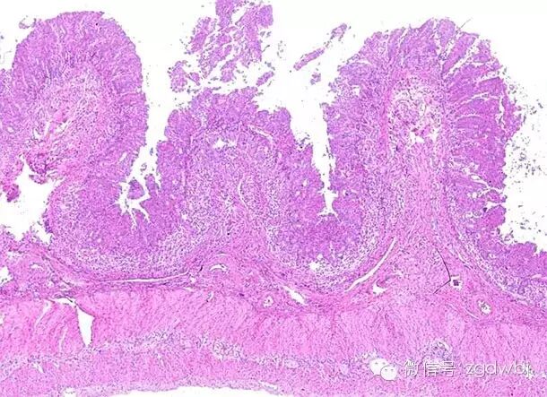
图1. 回肠。感染PCV2系统病的猪的肠道淋巴结明显的淋巴细胞损伤和肉芽肿性炎症。
图2. 回肠感染PCV2系统疾病的同一段回肠肠道淋巴结和肠粘膜的PCV2基因组量很多。原位杂交检测PCV2。
疫苗免疫引起常见的PCV2临床症状(最常见的PCV2-SI形式),而病毒对系统和/或消化病变影响很小。因此,当出现腹泻问题时,也会发生PCV2-SI,可能存在共同感染肠道病原体,但随后其中的一种病原成为主要病原。因此,为了确定肠道疾病每种病原的比例,使用有效的诊断工具很重要。病原检测(总数和组织病理学)能有效评估这种病。
原创文章,作者:zhaoxiaosong990728,如若转载,请注明出处:https://zgdwbj.com/archives/41588


